Co je to zánět okostice a proč způsobuje bolest předních zubů

| 10:48
Co je to zánět okostice a proč způsobuje bolest předních zubů

Zkontrolujte příznaky zánětu okostice

Tento nástroj vám pomůže zjistit, zda máte příznaky zánětu okostice. Všechny otázky jsou založeny na informacích z našeho článku. Pokud odpovíte na více než 3 otázky ano, je třeba co nejdříve navštívit zubního lékaře.

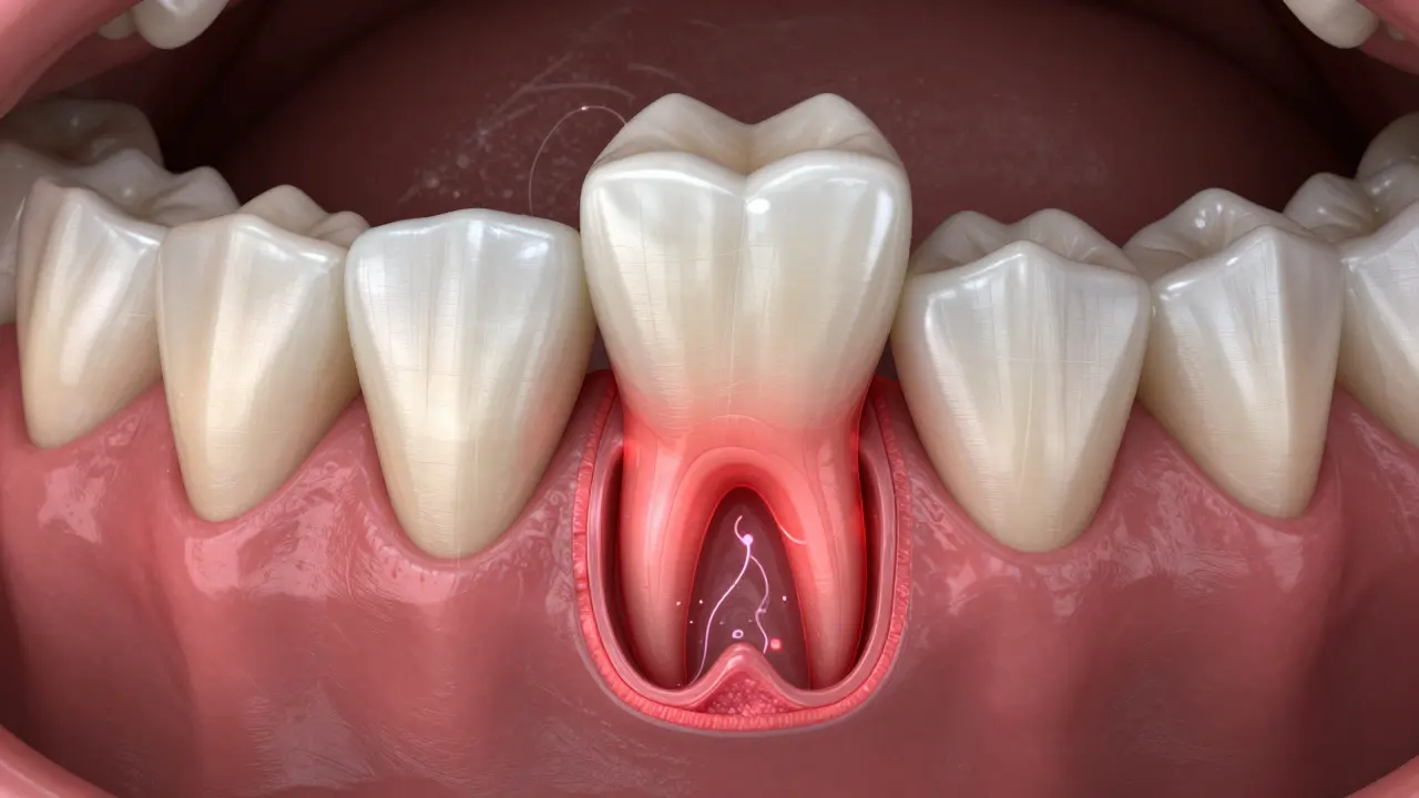
Zánět okostice je běžný, ale často přehlížený problém, který může způsobit ostrou, trvající bolest předních zubů. Mnoho lidí si myslí, že bolest v oblasti předních zubů je způsobena zubníkem nebo citlivostí, ale často je příčinou právě zánět okostice - tzv. periostitida. Tento zánět se objevuje, když se infekce nebo tlak šíří z dásně nebo kořene zubu do okolní tkáně, která obklopuje čelist - okostici.

Co je vlastně okostice?

Okostice je tenká, ale pevná vrstva kosti, která obklopuje každý zubní kořen. Nejde jen o ochranu - je to živá tkáň s cévami, nervy a buněkami, které pomáhají udržovat zub v čelisti. Když se okostice začne zánětlivě reagovat na bakterie, zranění nebo dlouhodobý tlak, začne být bolestivá. A protože přední zuby mají krátké kořeny a tenkou okostici, jsou zvláště náchylné na bolest, když se zánět rozšíří.

Proč právě přední zuby?

Přední zuby - řezáky a přední špičáky - nejsou jen viditelné, ale i méně stabilní než moláry. Mají jen jeden kořen, který je relativně krátký a tenký. Když dojde k infekci, například z důvodu zubního kazu, zlomeniny zubu nebo špatného léčení kanálku, bakterie se snadno dostanou až k okostici. A protože tato tkáň je bohatě zásobována nervy, každý zánět způsobuje ostrou, pulsující bolest, kterou lidé často chybně připisují „citlivým zubům“.

Bolest se obvykle projevuje jako:

  • Stálá, hluboká bolest při doteku nebo kousnutí
  • Bolest, která se zhoršuje, když se zub dotknete jazykem nebo prstem
  • Opuch nebo citlivost na kousnutí v oblasti dásně nad zubem
  • Pocit, že zub je „vyšší“ než ostatní - protože se okostice ztuhne a zub se při kousnutí „připíná“

Co způsobuje zánět okostice?

Nejčastější příčiny jsou jednoduché, ale často ignorované:

  • Zubní kaz hluboko do kořene - když kariózní proces projde skrz zub a dosáhne na kořen, bakterie proniknou do okostice.
  • Neúspěšná endodontická léčba - pokud se při léčení kanálku neodstranily všechny bakterie, infekce se může vrátit a způsobit zánět okostice.
  • Zlomený zub - i malá trhliny v zubu umožňují bakteriím proniknout dovnitř a šířit se k kořeni.
  • Periodontitida - pokud je dásně zánětlivá a odkalují se, infekce se může šířit i k kořenům a okostici.
  • Trauma - zub, který byl nárazem nebo při sportu poškozen, může způsobit zánět okostice i bez infekce - tělo reaguje na poškození jako na útok.

Je důležité si uvědomit: zánět okostice se neobjeví najednou. Je to postupný proces. Většina lidí má nějakou formu dásňového zánětu už měsíce nebo roky, ale ignorují ho. Až když bolest přijde - často v noci nebo při kousnutí - začnou hledat příčinu.

Osoba držící tvář v bolesti s viditelným zánětem v čelisti

Jak se to liší od zubního kazu nebo citlivosti?

Bolest z kazu je obvykle ostrá, ale krátkodobá - nastává při jídle sladkého, studeného nebo horkého a ustupuje. Citlivost je podobná, ale nezahrnuje opuch nebo bolest při doteku prstem.

Zánět okostice je jiný. Je to hluboká, trvající bolest, která:

  • Nestupuje a nesestupuje - je tam stále
  • Je lokalizovaná na konkrétní zub
  • Se zhoršuje, když na zub kousnete
  • Může se projevit i jako opuch dásně nebo „příšerný“ chuť v ústech

Nejčastější chyba: lidé si koupí citlivé zubní pasty nebo si „přečesají“ zub. To bolest neodstraní - jen ji dočasně zakryje. A infekce se šíří dál.

Co dělat, když máte bolest předních zubů?

Nejprve - nečekat. Pokud bolest trvá déle než 2-3 dny, není to „jen citlivost“. Je to signál, že něco je špatně.

První krok je návštěva zubního lékaře. Ten provede:

  1. Prohlídku - zkontroluje zub na kazy, trhliny, plomby
  2. RTG snímek - ukáže, zda je kolem kořene zvýšená hustota kosti (znamení zánětu)
  3. Test na kousnutí - pokud zub bolestivě reaguje na lehký tlak, je to silný indikátor periostitidy

Diagnóza je jednoduchá, ale často přehlížená. Pokud je zánět v počáteční fázi, stačí:

  • Léčba kanálku (pokud je zub zachránitelný)
  • Antibiotika (jen pokud je infekce rozšířená)
  • Odstranění zdroje infekce - např. odstranění špatné plomby

Nejhorší případ: zub je ztracený. Pokud se zánět nezastaví, kost kolem kořene se začne rozpadat. V tom případě se zub musí vyndat a následně se řeší náhrada - most, implantát nebo zubní protéza.

Poškozený přední zub s infekcí šířící se do kosti a nervů

Co můžete dělat doma?

Domácí opatření neodstraní zánět, ale mohou zmírnit příznaky, dokud nejedete k lékaři:

  • Chladný obklad - na tvář nad bolestivým zubem na 10 minut, 3-4x denně. Zmenší opuch a bolest.
  • Slaná voda - píte nebo si pláchnete ústa 2x denně (1 šálek teplé vody + 1 čajová lžička soli). Zabraňuje dalšímu růstu bakterií.
  • Nejedte na straně bolesti - zbytečně nepřetěžujte zub.
  • Vyhněte se sladkému a kyselému - tyto potraviny zhoršují infekci.

Neužívejte domácí „pomůcky“ jako česnek, alkohol nebo zubní pasty s kyselinou - mohou poškodit dásně a zhoršit stav.

Co se stane, když to necháte být?

Zánět okostice se nevyřeší sám. Pokud jej ignorujete, může se rozšířit do:

  • Okolní kosti - vznikne absces, který může způsobit ztrátu kosti v čelisti
  • Spodní část obličeje - infekce se může šířit k očím, krku nebo dokonce do mozku
  • Krevní oběh - bakterie mohou vstoupit do krve a způsobit závažné systémové infekce

V České republice se každoročně vyskytne přes 12 000 případů závažných infekcí způsobených nelečenými zubními problémy. Většina z nich by se dala předcházet jednoduchou návštěvou zubního lékaře.

Když už to začne, nečekáte

Bolest předních zubů je často první varovný signál. Neřešte ji jako „jen citlivost“. Nečekáte, až se to samo vyřeší. Nezakládáte si na ní kávovou kávovou kávovou kávu - nebo na to, že „to už se to nějak zvládne“.

Zánět okostice je léčitelný. Ale jen pokud ho zjistíte včas. Pokud máte bolest, která trvá déle než 48 hodin, nebo se zhoršuje při kousnutí - jděte k zubnímu lékaři. Nejde o luxus. Jde o základní péči o zdraví.

Nezapomeňte: zdravé zuby nejsou jen o krásném úsměvu. Jsou o tom, že nemusíte trpět každý den - a že vaše čelist zůstane silná i za 20 let.

Je zánět okostice stejný jako zubní kaz?

Ne. Zubní kaz je poškození skloviny a dentinu zubu způsobené bakteriemi. Zánět okostice je reakce těla na infekci, která se dostala až k kosti kolem kořene zubu. Kaz může způsobit zánět okostice, ale ne každý zánět okostice je způsoben kazu - může to být i zlomenina nebo špatně vylečený kanálek.

Může zánět okostice způsobit ztrátu zubu?

Ano. Pokud se zánět nezastaví, kost kolem kořene zubu se začne rozpadat. Bez podpory kosti zub ztratí stabilitu a musí být vyndán. Čím dříve začnete léčit, tím větší je šance, že zub zachráníte.

Je potřeba antibiotika při zánětu okostice?

Ne vždy. Pokud je infekce omezená na jednu oblast a zub je zachránitelný, stačí léčba kanálku a odstranění zdroje infekce. Antibiotika se používají jen, když je infekce rozšířená, je opuch, horečka nebo zánět se šíří do okolních tkání.

Může zánět okostice nastat i bez kazu?

Ano. Zlomenina zubu, špatná plomba, zubní trauma nebo zánět dásně (periodontitida) mohou vést k zánětu okostice i bez přítomnosti kazu. Bakterie se dostanou přes trhlinu nebo dásňový kapesník a infikují okostici.

Jak dlouho trvá hojení po léčbě zánětu okostice?

Bolest ustupuje obvykle do 3-7 dní po léčbě kanálku. Celé hojení kosti trvá 2-6 měsíců, v závislosti na rozsahu poškození. RTG snímek po 6 měsících ukáže, zda se kost obnovila. Důležité je dodržovat doporučení zubního lékaře a nezatěžovat zub příliš brzy.

zdraví a stomatologie