Jak vypadá mezizubní kaz a jak ho poznat včas

| 10:42
Jak vypadá mezizubní kaz a jak ho poznat včas

Prognóza mezizubního kazu

Tento nástroj vám pomůže odhadnout, jaké je vaše riziko vývoje mezizubního kazu na základě vašeho denního hygienického režimu. Mezizubní kaz je tichý a často bezbolestný, ale může mít vážné následky, pokud je nezachycen včas.

Odpovězte na tato otázka

Výsledek

Po kliknutí na tlačítko "Zjistit riziko" se zobrazí výsledek.

Neznámé riziko

Mezizubní kaz je jedna z nejčastějších, ale také nejvíce přehlížených forem kariés. Neviditelný, tichý a často bezbolestný, dokud už není pozdě. Mnoho lidí si myslí, že když nebolí zuby, vše je v pořádku. To je největší omyl. Mezizubní kaz se rozvíjí v těch nejhorších místech - mezi zuby, pod dásní, tam, kde kartáček nedosáhne a nitě se často zapomínají.

Co vlastně mezizubní kaz je?

Mezizubní kaz je infekce způsobená bakteriemi, které se hromadí v mezizubních prostorech. Tyto bakterie živí se cukry z jídel a vyrábějí kyselinu, která pomalu rozpouští sklovinu zubu. Když se to děje mezi zuby, nevidíte to. Nevidíte ani černou díru, kterou si představujete. Místo toho se kariés rozšiřuje podél povrchu zubu, často až k dásni. Až do okamžiku, kdy se kariés dostane k zubnímu nervu, necítíte nic.

Nejčastější místa pro mezizubní kaz jsou zadní zuby - moláry a přední moláry. Tam, kde se zuby těsně dotýkají, se snadno zadržuje jídlo. Když to nečistíte správně, bakterie vytvářejí tzv. biofilm - hlenovitou vrstvu, která se postupně mění v zubní kámen. Ten už kartáček neodstraní. A pod ním se kaz rozvíjí dál.

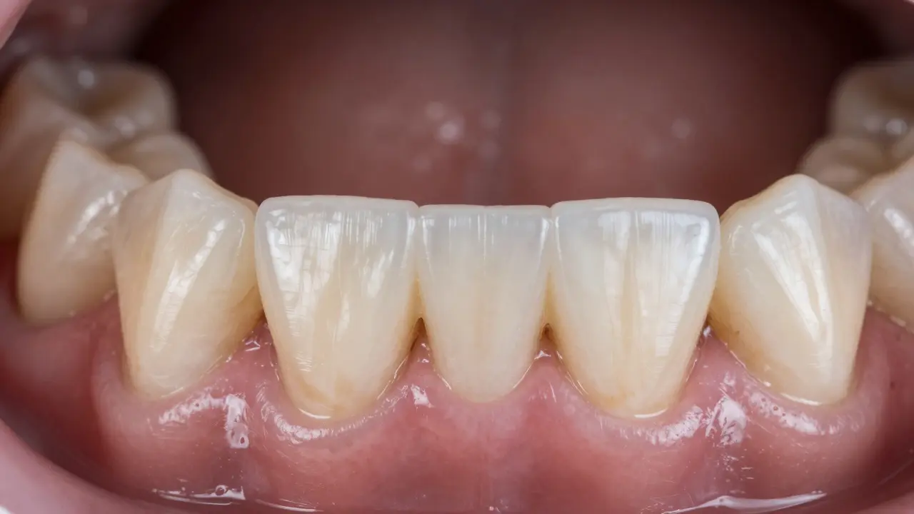
Jak vypadá mezizubní kaz na zubech?

Na povrchu zubu se mezizubní kaz nejprve projevuje jako bílá skvrna - to je první známka demineralizace. Je to jako malý bílý stín mezi zuby. V této fázi je kaz ještě vratný. Pokud zlepšíte hygienu a použijete fluoridové zubní pasty, může se skvrna zase zahojit.

Pokud to ignorujete, skvrna se změní v hnědou nebo černou oblast. Nejde o díru, jakou máte ve vzpomínce - spíš o tmavé šmouze, která se táhne podél hrany zubu. Když se podíváte na zuby z boku, můžete vidět, že jedna strana zubu je tmavší než druhá. To je často první viditelný signál, že něco není v pořádku.

Pod dásní se kaz rozšiřuje ještě hůře. Dásně mohou být zčervenalé, oteklé, krvácet při čištění. To není jen zánět - to je příznak, že pod dásní už je aktivní kaz. Když se kariés dostane až k kořeni zubu, začne poškozovat kost. A to je bod, kdy už není možné zachránit zub jen zubním plombováním.

Proč je mezizubní kaz tak nebezpečný?

Protože je tichý. A protože se nebolí. Nebojíte se ho, protože ho nevidíte. A protože se nebojíte, nechodíte k zubaři. Výsledek? Kaz se rozšíří do dvou zubů najednou - do toho, který se poškodil, a do sousedního. Výsledek? Dva zuby na výměnu.

Podle dat České stomatologické společnosti je mezizubní kaz příčinou více než 60 % všech plombování u dospělých. A téměř každý druhý zub, který je odstraněn, má za příčinu právě nezachycený mezizubní kaz. To není jen otázka pohodlí - je to otázka udržitelnosti vašich vlastních zubů.

Když se kaz dostane k dásni, může způsobit i parodontitidu - zánět podpěrných tkání zubu. To znamená, že zub se začne hýbat, dásně se stahují a zub se postupně ztrácí. A to všechno bez bolesti. Dokud nevypadne.

Jak ho poznat, když ho nevidíte?

Nemusíte být zubař, abyste poznali příznaky. Tady je co sledovat:

  • Krvácení dásní při čištění - i když to děláte jemně
  • Nepríjemný zápach z úst, který nezmizí ani po čištění
  • Citlivost na studené nebo horké jídlo, zejména mezi zuby
  • Stíny nebo tmavé oblasti mezi zuby, které jste dříve neviděli
  • Stíhání jídla mezi zuby, i když jste si je pečlivě vyčistili

Je to jednoduché: když vám něco mezi zuby překáží, i když jste si je vyčistili, je to varovný signál. Nejde jen o zbytky jídla - je to zubní kámen nebo kaz.

Tmavá šmouha postupně šířící se podél hrany zubu k dásni.

Co dělat, když si toho všimnete?

První krok: nepřehlížejte to. Nečekáte, až to začne bolet. Druhý krok: zavolejte zubaři. Ne na „kontrolu“, ale na specifickou kontrolu mezizubních prostorů. Zubař použije malý zrcátko a zvláštní sondu, aby prozkoumal mezizubní prostory. Většinou stačí rentgen - jednoduchý panoramatický snímek nebo malý digitální snímek mezi zuby - a uvidíte, zda tam něco je.

Když je kaz ještě malý, stačí jen odstranit poškozenou část a zapečetit zub. Když je větší, může být potřeba zubní vložka nebo dokonce krytka. Pokud je kaz pod dásní a poškozuje kostru, může být nutná chirurgická léčba - odstranění zubního kamene pod dásní (skalpelová či ultrazvuková čištění) a následná regenerace tkání.

Nikdy nečekáte, až to začne bolet. Většina lidí, kteří přijdou o zub kvůli mezizubnímu kazovi, si říkala: „Ale nebojelo to.“

Jak se tomu předcházet?

Mezizubní kaz se dá předcházet - a to snadno. Stačí jen několik kroků:

  1. Používejte zubní nitě denně - ne jen někdy. Před spaním je nejlepší čas. Nitě odstraní 80 % zbytků, které kartáček nedosáhne.
  2. Používejte mezizubní kartáčky - pokud máte větší mezery mezi zuby. Jsou ideální pro lidi s mezery, protézami nebo rovnátky.
  3. Čistěte zuby dvakrát denně - alespoň dvě minuty. Nejde o to, kolikrát, ale jak dobře.
  4. Používejte fluoridovou pastu - fluorid pomáhá zubu se obnovovat. Je to jako malý záchranný systém pro sklovinu.
  5. Chodíte k zubaři každých 6 měsíců - ne jen když bolí. Zubař vidí věci, které vy nevidíte. I když se vám zdá, že máte všechno pod kontrolou.

Některé osoby potřebují i zvláštní zubní vložky - například pro zuby s velkými mezery. Nebo elektrický kartáček s čisticí hlavou pro mezizubní prostory. To všechno můžete zjistit na konzultaci.

Co se stane, když to ignorujete?

Ignorování mezizubního kazu vede k třem věcem:

  • Plnění - a často k větším plněním, která se musí opakovat každých pár let
  • Odstranění zubu - protože kaz se rozšířil na kořen nebo na sousední zub
  • Chirurgická léčba dásní - která je nákladná, bolestivá a nezaručuje, že zub zůstane

Je to jako ignorovat škrábnutí na autě - na začátku to vypadá jako malá vada. Ale když se začne koroze rozšiřovat, můžete ztratit celý motor. Stejně to funguje i se zuby.

Zubař používá zrcátko a sondu k prozkoumání mezizubního prostoru.

Je mezizubní kaz vratný?

Ano - ale jen v počáteční fázi. Když je to jen bílá skvrna a nejsou žádné díry, může se zub sám zahojit. Stačí pravidelné čištění, fluorid a kontrola u zubaře. Když ale vznikne díra, zub už nemůže sám regenerovat. Musíte ho nechat naplnit.

První známky jsou vždy vratné. Ale každý měsíc, kdy to ignorujete, zvyšuje riziko, že už to nejde vrátit.

Je to jen pro dospělé?

Nikoli. Děti mají mezizubní kaz častěji než dospělí - protože neumí dobře čistit mezi zuby. Je důležité, aby rodiče pomáhali dětem s nitěmi až do věku 8-10 let. A nezapomínejte na dětské zubní pasty s fluoridem - ty jsou navržené právě pro citlivou sklovinu dětských zubů.

Mezizubní kaz nezná věk. Je to problém, který se týká každého, kdo má více než dva zuby vedle sebe.

Co je největší chyba lidí?

Chyba je myslet, že „když nebolí, je všechno v pořádku“. To je největší omyl ve stomatologii. Mezizubní kaz je jako tichý vrah - nebojí se, že ho někdo najde. A čím déle ho ignorujete, tím větší škodu způsobí.

Největší chyba je také nechat si odporučit „nějakou nit“ a pak ji používat jen jednou za měsíc. To je jako říct, že „jsem se naučil plavat“ - ale neplaveš. Když se něco nevykonává pravidelně, není to léčba. Je to iluze.

Pravidelnost je klíč. Každý den. I když je vám 70. I když máte všechny zuby. I když vám to přijde zbytečné.

zdraví a stomatologie