Připravte se na proměnu s celokeramickými fazetami: Co potřebujete vědět před lékařským zákrokem

| 12:42
Připravte se na proměnu s celokeramickými fazetami: Co potřebujete vědět před lékařským zákrokem

Kalkulačka cen celokeramických fazet

Výsledek se zobrazí zde.

Když se podíváte do zrcadla a nejste spokojení se svými zuby, není to žádná chyba. Mnoho lidí v Česku si přeje mít krásnější úsměv, ale neví, co je možné dnes dosáhnout. Celokeramické fazety jsou jedním z nejefektivnějších způsobů, jak přeměnit zuby bez nutnosti plnění nebo korunek. Ale nejsou to jen krásné zuby - je to celý proces, který si vyžádá vaši přípravu, čas a pochopení.

Co jsou celokeramické fazety a proč jsou jiné?

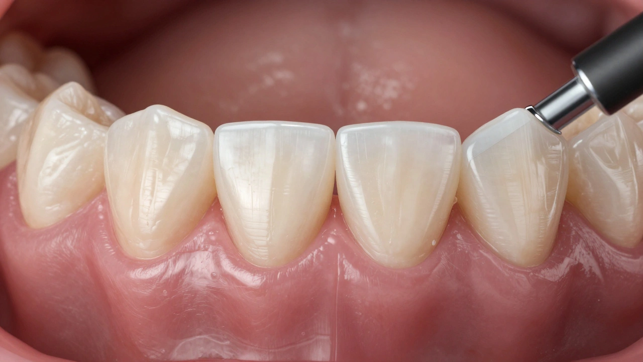
Celokeramické fazety jsou tenké vrstvy keramiky, které se přilepí na přední povrch zubů. Neobsahují žádný kov - celý materiál je keramika, což znamená, že vypadají přirozeně, jako vaše vlastní zuby. V porovnání s kovovými nebo kompozitními náhradami neodrážejí světlo tak, že by vypadaly uměle. Mají přirozený lesk, který se přizpůsobuje okolnímu světlu, a nezčernávají se u dásní, jak se to stávalo u starších náhrad.

Na rozdíl od zubních korun, které obalují celý zub, fazety se používají jen na přední část. To znamená, že vaše zuby nejsou tak moc ořezávány. Většinou stačí odstranit 0,3 až 0,7 mm zubní tkáně - to je méně než tloušťka lidského vlasu. Tento přístup je šetrnější a udržuje více vašich původních zubů.

Kdo je vhodný kandidát?

Celokeramické fazety nejsou pro každého. Pokud máte silné zubní kazy, značné poškození zubů nebo časté bruxismus (zubní škrábání), mohou být nevhodné. Stejně tak pokud máte špatnou ústní hygienu nebo nepravidelné návštěvy u zubního lékaře, lékař vám pravděpodobně odporučí nejprve vyřešit tyto problémy.

Nejlepší kandidáti jsou lidé, kteří:

  • Mají lehce zbarvené, žluté nebo šedivé zuby, které neodpovídají bělení
  • Mají drobné mezery mezi zuby (diastemy)
  • Mají drobně poškozené, zlomené nebo nepravidelně tvarované zuby
  • Jsou spokojení s funkcí svých zubů, ale chtějí zlepšit estetiku
  • Nebruxují nebo mají bruxismus pod kontrolou (např. pomocí nočních ochranných štítů)

Pokud jste si většinu života kouřili, pili hodně černého čaje nebo vína, a bělení už nepracuje, fazety mohou být vaše nejlepší možnost. Není to jen „krásnější zuby“ - je to fixace, která trvá desítky let.

Co se stane během lékařské návštěvy?

Proces je obvykle rozdělen do tří návštěv. První je konzultace a plánování. Zde lékař vyhodnotí váš úsměv, udělá snímky, možná i 3D sken, a spolu s vámi stanoví cíle. Nezapomeňte: toto je váš okamžik říct, co vám vadí. Chcete bílejší zuby? Vyrovnanější okraj? Delší střední zuby? Lékař to zaznamená a připraví plán.

Druhá návštěva je příprava. Lékař lehce ořeže povrch zubů, aby fazeta mohla přilnout. Pak udělá otisk nebo sken, který pošle do zubního laboratoře. V tomto okamžiku vám nasadí dočasné fazety - nejsou tak krásné jako konečné, ale zabraňují citlivosti a udržují estetiku.

Třetí návštěva je přilepení. Když se fazety připraví (obvykle za 1-2 týdny), přijdete zpět. Lékař je zkontroluje, přizpůsobí, zkontroluje barvu a pak je pečlivě přilepí pomocí speciálního lepidla. Celý proces trvá 30-60 minut na zub. Po přilepení vám ukáže, jak se máte chovat a co se může stát v prvních dnech.

Detailní porovnání přirozeného zubu a keramické fazety pod zvětšením.

Co se stane po přilepení?

Po přilepení můžete cítit mírnou citlivost na teplotu - to je normální a obvykle zmizí během několika dní. Nejde o „návyk“, ale o to, že vaše nervy se přizpůsobují novému prostředí. Pokud máte bolest, která trvá déle než týden nebo je silná, vraťte se k lékaři.

Ve dnech po zákroku se vyhněte tvrdým potravinám - například ořechům, kosti, čokoládovým tyčinkám nebo lédovým kostkám. Nejde o to, že by fazety praskly, ale o to, že se může přilepení ještě nezpevnit. Po týdnu můžete jíst normálně.

Ústní hygiena je klíčová. Čistěte zuby dvakrát denně, používejte nit a nezapomeňte na ústní vodu. Fazety nezčernají, ale zubní kazy pod nimi ano. Pokud se kolem fazety vytvoří kazy, může to vést k ztrátě zubu. Nezapomeňte na pravidelné kontroly - každých 6 měsíců.

Na jak dlouho vydrží?

Průměrně celokeramické fazety vydrží 15-20 let. Některé pacienty ještě po 25 letech mají své původní fazety. Klíčem je nejen materiál, ale vaše chování. Pokud bruxujete bez ochrany, můžete je poškodit za pár let. Pokud se nečistíte, může dojít k odložení plaků a kariés.

Na trhu jsou různé typy keramiky. Nejčastější jsou zirkoniová keramika a litová keramika. Zirkonie je pevnější, vhodná pro zuby v přední části i pro ty, kteří bruxují. Litová keramika je více průhledná a vypadá přirozeněji - ideální pro přední zuby, kde estetika je nejdůležitější. Lékař vám doporučí ten správný typ podle vašich potřeb.

Keramická fazeta září v záři západu slunce, symbolizující přeměnu úsměvu.

Cena a hledání lékaře

Cena jedné celokeramické fazety se v Česku pohybuje mezi 8 000 a 15 000 Kč. Většina klinik má ceny v rozmezí 10 000-12 000 Kč za zub. Cena závisí na kvalitě materiálu, zkušenostech lékaře a místě (Praha je obvykle dražší než Brno nebo Ostrava).

Nemějte strach z levných nabídek. Pokud je cena pod 7 000 Kč za zub, zeptejte se, zda je to skutečná celokeramika nebo kompozitní vrstva. Mnoho klinik nabízí „fazety“ z kompozitu - to není to samé. Kompozitní materiál se barví, opotřebovává a musí se měnit každých 3-5 let. Celokeramika je investice, která se vyplatí.

Při výběru lékaře se podívejte na jeho portfolio. Vyhledejte příklady před a po. Zeptejte se, zda používá digitální skenování a nejen otisky. Lékař, který používá 3D sken, může lépe předpovědět výsledek a zmenšit počet návštěv. Pokud vám ukáže příklady z vlastních pacientů - to je dobrý znak.

Co se nestane - a co si lidé myslí

Ne, fazety neznamenají, že budete mít „zuby jako hvězdy“. Pokud chcete bílé zuby jako v reklamě na zubní pastu, lékař vám řekne, že to není přirozené. Cílem je přirozený, zdravý úsměv, ne zubní zrcadlo.

Ne, nebudete mít „plastový“ vzhled. Moderní keramika má přirozenou přechodovou barvu od krajů ke středu zubu - stejně jako vaše vlastní zuby. Pokud vám lékař řekne, že všechny vaše zuby budou stejně bílé, je to červená vlajka.

Ne, nebudete mít citlivost po celý život. Většina lidí zažije jen krátkodobou citlivost, která zmizí. Pokud vám to trvá déle, je to problém, který je třeba vyřešit.

Ne, nebudete muset měnit fazety každých pět let. Pokud se o ně pečujete, vydrží 15-20 let. To je mnohem déle než kompozitní náhrady nebo bělení.

Co dělat dál?

Nejprve si dejte čas. Neřešte to na poslední chvíli před svatbou nebo pracovním pohovorem. Tento proces vyžaduje čas - nejen na lékaře, ale i na vás. Připravte se na to, že budete muset změnit některé návyky - jíst méně černého čaje, čistit zuby pečlivěji, nosit ochranný štít, pokud bruxujete.

Přemýšlejte o tom, co chcete dosáhnout. Ne jen „bílejší zuby“, ale „větší sebedůvěra“, „přirozenější úsměv“, „méně stresu při fotografování“. To, co chcete, je větší než jen zuby - je to vaše představa sebe sama.

Pokud jste se rozhodli, vyberte si lékaře, kterému důvěřujete. Nechte si vysvětlit všechny možnosti. Nechte si ukázat příklady. Zeptejte se na záruku. Většina dobrých klinik dává záruku 5-10 let na fazety.

Je to investice. Ale ne do zubů. Je to investice do sebe.

Jsou celokeramické fazety vhodné pro všechny zuby?

Ne. Celokeramické fazety se používají jen na přední zuby - obvykle na horní a dolní 8-12 zubů. Pro zadní zuby se používají korunky nebo jiné náhrady, protože tyto zuby přenášejí větší zátěž při žvýkání. Fazety nejsou navrženy pro zátěž, ale pro estetiku.

Můžu si nechat fazety jen na jednom zubu?

Technicky ano, ale není to doporučeno. Zubaři obvykle doporučují pokrýt alespoň 4-6 zubů, aby výsledek vypadl přirozeně. Pokud máte jen jednu fazetu, může vypadat jako „cizí zub“ - nebo se barva neshoduje s ostatními. Většina lidí volí balíček 6-10 zubů pro přirozený vzhled.

Je možné fazety odstranit a vrátit se k původním zubům?

Ne zcela. Při přípravě se odstraní malá část zubní skloviny, takže zuby nejsou v původním stavu. Pokud byste fazety odstranili, zuby by byly menší, citlivější a mohly by vypadat neesteticky. Fazety nejsou dočasným řešením - jsou to trvalá změna.

Jak se chovat po přilepení fazet?

V prvních dnech vyhněte tvrdým potravinám, jako jsou ořechy, kosti nebo led. Čistěte zuby dvakrát denně, používejte nit a ústní vodu. Nezapomeňte na pravidelné kontroly každých 6 měsíců. Pokud bruxujete, noste noční ochranný štít - jinak můžete fazety poškodit.

Můžu bělit zuby po nasazení fazet?

Ne. Bělení funguje jen na přirozenou zubní sklovinu. Fazety jsou z keramiky a nevstřebávají barvivo. Pokud chcete změnit barvu, musíte vyměnit fazety. Proto je důležité si vybrat správnou barvu před přilepením - lékař vám pomůže s výběrem podle vaší původní barvy a kůže.

zdraví a stomatologie