Co vytahuje zánět ze zubu? Příčiny a jak to zastavit

| 10:43
Co vytahuje zánět ze zubu? Příčiny a jak to zastavit

Rizikový počítadlo zánětu ze zubu

Zadejte své údaje

Výsledek

0%

Co dělat?

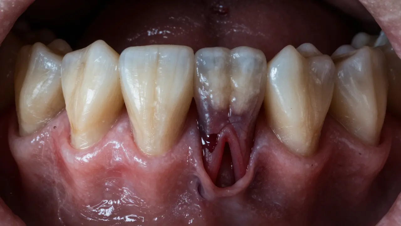
Zánět ze zubu není jen bolest. Je to tělo, které bojuje proti infekci, která se rozšířila hluboko do nitra zubu. Když cítíte pulzující bolest, otok v dásni nebo dokonce chuť hniloby v ústech, není to jen „zub, který bolí“. Je to signál, že něco je vážně špatně. A nejčastější příčina? Zubní kazy, které se dostaly příliš hluboko.

Co vlastně způsobuje zánět ze zubu?

Zánět ze zubu většinou začíná malou dírkou - zubním kazu. Když se bakterie dostanou do nitra zubu, přes zubní drahůčku, která vede k zubnímu nervu, začnou ničit tkáně. Když se infekce dostane k zubnímu nervu, ten zemře. Ale bakterie nezastaví. Pokračují do kořenového kanálku a pak do kosti kolem zubu. Tam se začne hromadit hnis. To je zubní absces je hnisavá infekce, která vzniká na konci kořene zubu a tlačí na okolní tkáně a kost.

Tu bolest, kterou cítíte, není jen od zubu. Je to vaše tělo, které se snaží izolovat infekci. Když se hnis shromažďuje, vytváří tlak. A tlak způsobuje bolest. Pokud se nezastaví, infekce se může šířit do čelisti, krku, dokonce do mozku. To není jen teorie - v Česku se každý rok objeví desítky případů, kdy zubní infekce vedla k vážným komplikacím.

Proč to nevymizí samo?

Mnoho lidí si myslí, že když bolest přestane, je všechno v pořádku. To je největší omyl. Když zemře nerv, bolest přestane - ale bakterie žijí dál. Neexistuje žádný domácí postup, který by zastavil infekci zevnitř. Žádná pastička, žádná sůl, žádná česneková pasta. Tyhle věci mohou dočasně zmírnit bolest, ale nevytáhnou zánět. Jen ho zatlačí hlouběji.

Zubní absces se nevytahuje samovolně. Když se hnis někdy vysune na povrch dásně a vytvoří „puklinu“, může se zdát, že je všechno v pořádku. Ale to je jen dočasný únik. Infekce zůstává uvnitř. A časem se vrátí - často silnější.

Co se stane, když to necháte?

Když necháte zánět bez léčby, infekce se šíří. Nejprve poškodí kost kolem zubu - to se nazývá paradentitida je zánět dásní a kosti, která udržuje zub na místě. Potom se může rozšířit do sousedních zubů. Někdy se infekce dostane do nosních dutin, což způsobí chronické zácpy nebo infekce sinů. V extrémních případech se hnis dostane do krku a způsobí Ludwigova angína život ohrožující infekce, která blokuje dýchací cesty.

V České republice se každoročně léčí přes 15 000 případů zubních abscesů. Většina z nich by se dala předcházet. Když se zubní kazy neodstraní včas, zánět je jen otázka času.

Kořen zubu pronikající do čelisti s šířící se infekcí.

Jak se zánět opravdu vytaže?

Jediné, co opravdu vytaže zánět ze zubu, je lékařská léčba. A existují jen dvě cesty:

  1. Root canal (léčba kořenových kanálků) - zubní lékař otevře zub, odstraní mrtvý nerv a všechny bakterie, vyčistí kanálky a zub uzavře. Zůstane vám zub, i když je mrtvý - ale neinfikovaný.
  2. Odstranění zubu - pokud je zub příliš poškozený, aby ho šlo zachránit, lékař ho vytáhne. To zastaví infekci, ale zanechá mezeru.

Antibiotika se používají jen jako pomoc. Nezastaví infekci sama. Pouze zmírní šíření, aby se dalo bezpečně provést zákrok. Bez léčby kořenových kanálků nebo vytáhnutí zubu se zánět vrátí - vždy.

Co dělat, když to začne bolět?

Když cítíte první příznaky - pulzující bolest, citlivost na teplotu, otok dásně, chuť hniloby - nečekejte. Jděte k zubnímu lékaři. Nejpozději do 48 hodin. Čím dřív, tím jednodušší a levnější léčba.

Mezitím můžete:

  • Pláchnout ústa teplou slanou vodou - to zmírní bolest a pomůže vysát hnis
  • Používat led na tvář - zmenší otok
  • Udržovat ústa čistá - nezatížte zub víc, než už je
  • Nejedzte na straně zubu, který bolí

Nikdy nepoužívejte aspirin nebo jiné léky přímo na dásen - může to spálit tkáně a zhoršit situaci.

Zubní lékař provádí léčbu kořenového kanálku.

Co se stane, když se zub vytáhne?

Když se zub odstraní, neznamená to, že problém je vyřešen. Zbytek čelisti se začne měnit. Zuby vedle se začnou přesouvat. Zuby naproti vyrůstají do mezery. To může způsobit problémy s kousáním, špatnou hygienou a dokonce s řečí. A pokud necháte mezeru dlouho, kost v oblasti zubu se začne rozpadat - a pak už není možné vložit náhradu.

Proto po vytáhnutí zubu je důležité plánovat náhradu: most, implantát nebo částečný zubní protéza. To nejen zachová vaši úsměv, ale i celou strukturu čelisti.

Jak tomu předcházet?

Zánět ze zubu není náhoda. Je výsledkem opomenutí. A předcházet mu je jednoduché:

  • Čistěte si zuby dvakrát denně - nejen ráno, ale i večer
  • Používejte nit na zuby každý den - kazy se často objevují mezi zuby
  • Chodíte na kontrolu každých 6 měsíců - i když nic nebolí
  • Nezapomeňte na zubní kazy - nečekáte, až začnou bolět
  • Snížte cukr - bakterie žijí na cukru

Stačí pět minut denně na čištění a dvě návštěvy ročně u zubního lékaře. To je všechno, co potřebujete, abyste se vyhnuli zánětu, který vás může stát tisíce korun a několik týdnů bolesti.

Co když jste už v bolesti?

Nejste sami. Většina lidí čeká, až bude bolest nepřenositelná. Ale každý den čekání zvyšuje riziko komplikací. Zánět ze zubu není „jen zubní problém“. Je to infekce, která může ovlivnit celé vaše tělo.

Když se rozhodnete jít k lékaři, připravte si otázky:

  • Můžete zub zachránit nebo ho musíte vytáhnout?
  • Jaká je pravděpodobnost úspěchu léčby kořenových kanálků?
  • Co se stane, když to nechám?
  • Máte možnost léčby v rámci zdravotní pojištění?

Nebojte se klást otázky. Dobrý zubní lékař vás neosudí. Pomůže vám zvolit nejlepší cestu - ne tu, která je nejlevnější, ale tu, která vám zachová zdraví na dlouho.

zdraví a stomatologie